Wasze uśmiechy

Dowiedz się więcej
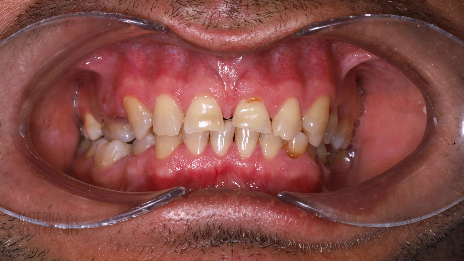
Tematem trzeba się było zająć w końcu konkretnie. Pacjentka wielokrotnie próbowała przykrywać nowymi plombami defekt estetyczny na lewej jedynce i dwójce. Zęby były leczone kanałowo wiele lat temu i dalej nie doczekały się odbudowy protetycznej.
Na czym polegała metamorfoza ? Wykonaliśmy: higienizację oraz wybielanie. Stary materiał wypełniający kanały i korzenie przebarwiał zęby na ciemny kolor, więc powtórzyłyśmy leczenie kanałowe. Przez to, że ludzkie oko szuka symetrii namówiłam pacjentkę na ceramiczną odbudowę 4 przednich zębów zamiast tylko dwóch. Aby jak najmniej ingerować w strukturę prawych siekaczy zaproponowałam licówki.
To co widzimy to 2 licówki i 2 korony cerkon pełen kontur, kolor: 2M1

Dowiedz się więcej
W tym uśmiechu brakowało kropki nad i. Pacjentka musiała mieć wzmocnione boczne zęby koronami ( po leczeniu kanałowym) więc wykorzystałyśmy ten fakt także do poprawy estetyki.
Na czym polegała metamorfoza ? Wykonaliśmy: higienizację oraz wybielanie. Przezroczystymi nakładkami InvisalignGo rozładowałyśmy stłoczenia w łuku dolnym oraz uzyskałyśmy miejsce na odbudowę zębów górnych. W przednich zębach zamiast kolejnych wypełnień wykonałam minimalny szlif pod ceramiczne licówki.
Pacjentka ma wykonane korony cerkonowe na zębach bocznych oraz licówki od 3 do 3.
Korony i licówki cerkon pełen kontur, kolor: B1

Dowiedz się więcej
“Chciałem zrobić porządek z zębami. Chcę aby były jasne i nie od linijki. Naturalnie.” Cel mieliśmy ustalony.
Na czym polegała metamorfoza ? Wykonaliśmy: higienizację, powtórne leczenia kanałowe oraz wypełnienia kompozytowe. Usunęliśmy 2 zęby. Przezroczystymi nakładkami InvisalignGo uszeregowaliśmy zęby oraz utworzyliśmy miejsce na nową odbudowę. Wkręciliśmy 2 implanty. Ustaliliśmy też pacjentowi nowy zgryz przez tzw. podniesienie zwarcia. Przez to, że zęby były mocno starte i połamane: musieliśmy przechodzić przez leczenie etapami.
Pacjent ma wykonane korony cerkonowe w łuku górnym i dolnym (od prawej 6 do lewej 6).
Korony cerkon pełen kontur, kolor: B1

Dowiedz się więcej
Pani B. od dawna marzyła o poprawie wyglądu swoich zębów. Nie chciała jednak, aby zęby były “widoczne z kilometra”. Zależało jej na naturalnym efekcie.
Na czym polegała metamorfoza ? Wykonaliśmy: higienizację, leczenia kanałowe pierwotne i powtórne, wypełnienia kompozytowe. Przezroczystymi nakładkami ortodontycznymi doprostowałyśmy osie zębów. Następnie wykonałyśmy wybielanie oraz estetyczne korony cerkonowe w łuku górnym(od prawej 6 do lewej 6) a uśmiech dopełniłyśmy licówkami w łuku dolnym.
Korony i licówki cerkon pełen kontur, kolor: B2

Dowiedz się więcej
Pani M. to bardzo elegancka kobieta. Przeszkadzało jej, że zęby są ciemne, pokruszone a wypełnienia w zębach wyglądają nieładnie. Zależało jej na odświeżeniu usmiechu, nienachalnej ale widocznej zmianie.
Na czym polegała metamorfoza ? Wykonaliśmy: higienizację, powtórne leczenie kanałowe, wypełnienia kompozytowe, wybielanie oraz nowe korony cerkonowe w łuku górnym (od prawej 6 do lewej 6).
Korony cerkon pełen kontur, kolor: 3M2

Dowiedz się więcej
Pacjenta miała korony wykonane ponad 15 lat temu. Zaczął przeszkadzać jej uwidoczniony przy szyjkach metal pod koronami oraz nieprzyjemny smak i zapach.
Na czym polegała metamorfoza ? Wykonaliśmy: higienizację, leczenia kanałowe pierwotne i powtórne, usunęłyśmy dwa zęby oraz odbudowałyśmy mocno zniszczone zęby filarowe; Poprawiłam zasięg szlifu protetycznego.
Na zdjęciu przymiarka nowego śsmiechu czyli korony PMMA w kolorze A1

Dowiedz się więcej
Pacjentka czuła, że wykonane dawno temu korony nie są już szczelne. Coś pobolewało, wpadało jedzenie między zęby.
Na czym polegała metamorfoza ? Wykonaliśmy: higienizację, leczenia kanałowe pierwotne i powtórne, usunęłyśmy 2 zęby z pod mostu; Odbudowałyśmy pościerane zęby dolne kompozytem tym samym wykonując tzw. podniesienie zwarcia. W łuku górnym widać poprawiony szlif protetyczny z przymiarką nowego uśmiechu.
Korony tymczasowe PMMA, kolor: A2

Dowiedz się więcej
Pacjent zgłosił się z “odsłoniętą szyjką”. Jego problemem był tak naprawdę rozszczelnione, przeciążone korony.
Na czym polegała metamorfoza ? Wykonaliśmy: higienizację, leczenia kanałowe pierwotne i powtórne, wypełnienia kompozytowe, wybielanie oraz nowe korony cerkonowe w łuku górnym(od prawej 6 do lewej 6).
Korony cerkon pełen kontur, kolor: B1

Dowiedz się więcej
Pacjentka zgłosiła się z niekomfortowym uczuciem wokół mostów. Problemem okazała się głęboka próchnica pod nieszczelnymi, starymi mostami.
Na czym polegała metamorfoza? Wykonaliśmy: higienizację, leczenia kanałowe, wybielanie oraz 2 nowe mosty cerkonowe ( prawa 6-4, lewa 3-6 )
Mosty cerkon pełen kontur, kolor: A3.5

Dowiedz się więcej
Pacjent zgłosił się z wypadającą co chwila odbudową prawej górnej dwójki. Problemem było uogólnione starcie zębów oraz ich braki.
Na czym polegała metamorfoza ? Wykonaliśmy: higienizację, wymianę nieszczelnych wypełnień, ponowne leczenia kanałowe, wybielanie oraz …
- w łuku górnym: korony i mosty metalowo-ceramiczne od prawej 6 do lewej 6
- w łuku dolnym: bonding oraz protezę szkieletową
Kolor: A3

Dowiedz się więcej
Pacjent zgłosił się z wypadającymi wypełnieniami oraz utykającym jedzeniem pomiędzy zębami.
Na czym polegała metamorfoza? Wykonaliśmy: higienizację, pierwotne i ponowne leczenia kanałowe, leczenie próchnicy, wybielanie, korony cerkonowe w odcinkach bocznych ( 4-6) oraz odbudowę starć metodą bondingu zębów od 3 do 3 u góry. Kolor: A3

Dowiedz się więcej
Pacjentka zgłosiła się w celu poprawy estetyki po leczeniu ortodontycznym.
Wykonaliśmy : higienizację, gingivectomię (korektę dziąseł) oraz wybielanie